RESEARCH/REVIEW ARTICLE

Contrasts between the cryoconite and ice-marginal bacterial communities of Svalbard glaciers

Arwyn Edwards,1 Sara M.E. Rassner,1,2 Alexandre M. Anesio,3 Hilary J. Worgan,1 Tristram D.L. Irvine-Fynn,2 Hefin Wyn Williams,1 Birgit Sattler4 & Gareth Wyn Griffith1

1 Institute of Biological, Rural and Environmental Sciences, Cledwyn Building, Aberystwyth University, Aberystwyth SY23 3FG, UK
2 Institute of Geography and Earth Sciences, Llandinam Building, Aberystwyth University, Aberystwyth SY23 3DB, UK
3 Bristol Glaciology Centre, School of Geographical Sciences, University of Bristol, University Road, Bristol BS8 1SS, UK
4 Institute of Ecology, University of Innsbruck, Technikerstrasse 25, AT-6020 Innsbruck, Austria

Abstract

Cryoconite holes are foci of unusually high microbial diversity and activity on glacier surfaces worldwide, comprising melt-holes formed by the darkening of ice by biogenic granular debris. Despite recent studies linking cryoconite microbial community structure to the functionality of cryoconite habitats, little is known of the processes shaping the cryoconite bacterial community. In particular, the assertions that the community is strongly influenced by aeolian transfer of biota from ice-marginal habitats and the potential for cryoconite microbes to inoculate proglacial habitats are poorly quantified despite their longevity in the literature. Therefore, the bacterial community structures of cryoconite holes on three High-Arctic glaciers were compared to bacterial communities in adjacent moraines and tundra using terminal-restriction fragment length polymorphism. Distinct community structures for cryoconite and ice-marginal communities were observed. Only a minority of phylotypes are present in both habitat types, implying that cryoconite habitats comprise distinctive niches for bacterial taxa when compared to ice-marginal habitats. Curiously, phylotype abundance distributions for both cryoconite and ice-marginal sites best fit models relating to succession. Our analyses demonstrate clearly that cryoconites have their own, distinct functional microbial communities despite significant inputs of cells from other habitats.

To access the supplementary material for this article, please see Supplementary Files under Article Tools online.

Keywords
Cryoconite; glacier; Svalbard; moraines; niche; T-RFLP.

Correspondence
Arwyn Edwards, Institute of Biological, Rural and Environmental Sciences, Cledwyn Building, Aberystwyth University, Aberystwyth SY23 3FG, UK. E-mail: aye@aber.ac.uk

(Published: 22 May 2013)

Polar Research 2013. © 2013 A. Edwards et al. This is an open-access article distributed under the terms of the Creative Commons Attribution-Noncommercial 3.0 Unported License (http://creativecommons.org/licenses/by-nc/3.0/), permitting all non-commercial use, distribution, and reproduction in any medium, provided the original work is properly cited.

Citation: Polar Research 2013, 32, 19468, http://dx.doi.org/10.3402/polar.v32i0.19468

 

On glaciers, cryoconite holes are particularly intriguing habitats (Hodson et al. 2008). They develop following the aeolian transport of dusts and debris to glacier surfaces, which become colonized by microbes. Dust-driven reduction of albedo forces localized melting and the formation of cylindrical melt-holes bearing dark, granular sediment and clear meltwater (Gribbon 1979; Cook et al. 2010). This increases the absorption of solar radiation by cryoconite granules, potentiating high rates of microbial primary production and respiration (Telling et al. 2012).

These conditions are optimal for the proliferation of a diverse range of microbial life. This microbiota is critical to the properties of cryoconite, for example, by the role of filamentous microbes and exudation of extracellular polymeric substances forming granules (Langford et al. 2010) while the deposition of dark organic matter further reduces cryoconite albedo and accentuates surface melt rates (Takeuchi, Kohshima, Goto-Azuma et al. 2001; Takeuchi, Kohshima & Seko 2001; Takeuchi 2002).

A long-standing presumption is the importance of dust-associated transfer of cells and nutrients from ice-marginal environments (Bayley 1891; Gajda 1958; Gerdel & Drouet 1960; Wharton et al. 1985) in the formation of cryoconite. Measurements of organic contents in great excess of the potential deposition from seasonal autochthonous activity have been used to support this notion (Stibal et al. 2008). However, in spite of the labile nature of a glacier's surface, cryoconite holes on Arctic glaciers appear remarkably stable environments, with time-lapse imagery (Irvine-Fynn et al. 2011), radionuclide composition (Tieber et al. 2009) and granule structure (Takeuchi et al. 2010) suggesting prolonged residence, up to decades, on the ice surface and the potential emergence of distinctive habitats on the glacier surface. Previously, we found at least seven bacterial phyla in Svalbard cryoconite, and associations between community structure and activity with glacier dynamics (Edwards et al. 2011). Others (Kastovska et al. 2007; Mindl et al. 2007) have implied the transfer of taxa between ice-marginal and cryoconite habitats, but the relative importance of regional and local processes in shaping the cryoconite community are poorly quantified.

As a result, the processes governing the emergence of a functional cryoconite microbiome are unclear, as are the interactions between cryoconite bacterial communities and other bacterial communities proximal to cryoconite. Therefore, we applied terminal-restriction fragment length polymorphism (T-RFLP) as a high-throughput, reproducible microbial fingerprinting method (Osborn et al. 2000; Smalla et al. 2007; Camarinha-Silva et al. 2012) to compare bacterial communities from cryoconite, moraine and proglacial tundra soils from glaciers in the Ny-Ålesund area of Svalbard.

Materials and methods

Field sites and sampling procedures

In July 2006, samples were collected from three small valley glaciers, Midtre Lovénbreen with Austre and Vestre Brøggerbreen, associated moraines and adjacent tundra on the Brøggerhalvøya peninsula, Svalbard (Fig. 1). Over the last 100 yr, the three glaciers have all retreated and thinned from their Little Ice Age maxima (ca. 1900), progressively exposing glaciogenic moraines and sediment complexes (Glasser & Hambrey 2001).

Fig 1
Fig. 1  Map of study area, indicating glaciers sampled from (Austre and Vestre Brøggerbreen and Midtre Lovénbreen) and the region of their moraines (ABM, MLM and VBM) as well as tundra sites (SVT and ETT).

These three glaciers are adjacent to the international research settlement of Ny-Ålesund and have therefore been well characterized by intensive glaciological and microbiological studies. The reader is directed to previous investigations which have demonstrated that primary (and microbial) succession in the glacier forefields is strongly influenced by nutrient-limitation (Hodkinson et al. 2003), proto-soil development (Schutte et al. 2009) and rapid changes in stream courses and active hydrology (Moreau et al. 2008) and these glaciers’ surfaces are recognized as loci of microbial diversity and activity (Hodson et al. 2007; Edwards et al. 2011; Telling et al. 2011; Telling et al. 2012).

Cryoconite was collected aseptically from holes in midline transects of each glacier's ablation zone using sterile syringes and 15 mL centrifuge tubes, while sediments were collected from non-vegetated lateral moraines and within the little ice age terminal moraine complexes of each glacier using a flame-sterilized blade to scrape samples of near-surface sediments into centrifuge tubes; and soils were collected from neighbouring areas of vegetated tundra in the same manner. All samples were transferred to the Natural Environment Research Council Arctic Research Station on ice within 6 h and frozen at −20°C prior to air transfer frozen in insulated containers to the Aberystwyth laboratory.

Molecular analyses

Community DNA was aseptically extracted from thawed 250 mg (wet weight) subsamples of cryoconite, sediment or soil using a MoBio (Solana, CA, USA) PowerSoil DNA kit as per the manufacturer's instructions. Extracts were stored at −80°C prior to T-RFLP analysis. Two microlitres of each extract were added to 25 µL. Polymerase chain reactions (PCRs) were conducted in triplicate using primers for the bacterial 16S ribosomal RNA gene (Cy5-27F and 1389R), treated with Exonuclease I and Shrimp Alkaline Phosphatase to reduce the formation of pseudo-terminal-restriction fragments (T-RFs) and digested with HaeIII prior to fragment analysis using a CEQ-8000 genetic analyser (Beckman Coulter, Brea, CA, USA) exactly as described in Edwards et al. (2011), with the exception that the final clean-up of T-RFs present in each sample was performed using a Montage µ96 PCR plate as per the manufacturer's instructions (Millipore, Watford, UK) prior to loading on the genetic analyser.

Statistical analyses

T-RF relative abundance profiles were extracted in MS Excel 2007. Primer-6.1.12 and PERMANOVA+1.0.2 (Primer-E, Ivybridge, UK) were used to conduct permutational analysis of variance (PERMANOVA; Anderson 2001) and canonical analysis of principal components (CAP; Anderson & Willis 2003) using Bray-Curtis similarities of fourth-root transforms of profiles. Each profile represented an independent replicate within a group (e.g., Midtre Lovénbreen cryoconites, Vestre Brøggerbreen moraines).

Finally, Bray-Curtis similarities of T-RF distributions were used to generate taxon co-occurrence networks in UCINET-6 and NetDraw (Borgatti 2002; Borgatti et al. 2002) prior to visualization of all nodes linked by edges with Bray-Curtis similarities ≥0.70 using Cytoscape 2.8.3 (Smoot et al. 2011). See the Supplementary File for details of phylotype abundance distribution modelling.

Results and discussion

Bacterial 16S rRNA gene T-RF profiles were generated for all 48 samples, and a significant difference was observed in peak numbers (S) between sample types (cryoconite n=25, median S=18; moraine n=14, median S=23; tundra n= 9, median S=6; Kruskal-Wallis, H=16.4, P<0.0001). The number of T-RFs in each sample is provided in Supplementary Table, S1. Each T-RF was considered a distinct phylotype sensu Prosser (2012), and its peak height relative to total peak height per sample to represent the relative abundance of that phylotype, cf. Schutte et al. (2009). Although the detection of phylotypes comprising more than 0.1–1% of the cumulative relative abundance of a microbial community by T-RFLP is recognized (Dunbar et al. 2000; Courtney et al. 2012), it cannot be assumed that T-RFLP can accurately resolve all phylotypes present in a given environmental sample, given the long-tail distribution of taxa evident in microbial communities (Bent & Forney 2008).

Although empirical evidence supports the linkage of T-RFs detected by our T-RFLP protocol to specific 16S rRNA gene operational taxonomic units clustered at the level of 97% sequence identity frequently within cryoconite (Edwards et al. 2011), uncertainties surround the phylogenetic resolution of T-RFLP (Blackwood et al. 2007). Nevertheless, the ability of microbial community fingerprinting methods such as T-RFLP to provide ecologically-relevant insights is well recognized (Fierer 2007), as is the potential to glean information from fragmental abundance distributions (Marzorati et al. 2008). Indeed, since T-RFLP profiles can be closely correlated with physico-chemical conditions and microbial activities in the context of these glaciers (Edwards et al. 2011), we proceed with the cautious assumption that T-RFLP is no less unsuitable than any other method for the particular objectives of this study.

Profound differences in the T-RF profiles of community structures from cryoconite, tundra soil and moraines were apparent. PERMANOVA of T-RF relative abundance profiles demonstrates a clear effect of environment type (pseudo-F=16.52; P[perm]=0.0001), and furthermore between sites (pseudo-F=6.21; P[perm]=0.001) with significant differences within and between cryoconite sites and all other sites accounting for most variation (Table 1). This is confirmed by CAP analysis, which clearly ordinates T-RFLP profiles from different environment types (Fig. 2) using a fairly robust model, correctly classifying 65.4% of samples to the correct site via leave-one-out-allocation (Table 1). Finally, PERMANOVA of T-RF profiles transformed to presence–absence (as opposed to relative abundance profiles) confirmed the above significant differences (environment type, pseudo-F=15.423, P[perm]=0.0001; site pseudo-F=5.8378, P[perm]=0.0001 with pairwise significant differences between all cryoconite sites and between cryoconite sites and all non-cryoconite sites; see Supplementary Table, S2) illustrating that the overall conclusion of differences apparent between sites and environment types appear equally robust to the application of abundance-weighted or un-weighted analyses.

Fig 2
Fig. 2  Canonical analysis of principal components (CAP) ordination plot indicating the extent of differences between tundra soil (“Tund”, crosses and circles), moraine sediment (“Mora”, hollow markers) and cryoconite (“Cryo”, filled markers) bacterial community structures of the three glaciers (Austre Brøggerbreen: diamonds; Midtre Lovénbreen: squares; and Vestre Brøggerbreen: triangles) and tundra sites (SVT: circles and ETT: crosses) resolved by terminal-restriction fragment length polymorphism. The Venn diagram (inset) indicates the richness and degree of overlap between habitat types in terms of terminal-restriction fragments (T-RFs).


Table 1 Summary statistics of permutational analysis of variance (PERMANOVA) and canonical analysis of principal components (CAP) analyses; P(perm) values of less than 0.01 are in boldface to indicate significant differences between sample groups upon pairwise PERMANOVA
Pairwise PERMANOVA P(perm) values CAP model
MLa cryoconite VBb cryoconite ABc cryoconite ETd tundra SVd tundra AB moraine VB moraine Misclassification error (%)
ML cryoconite 0
VB cryoconite 0.001 50
AB cryoconite 0.001 0.008 0
ET tundra 0.001 0.004 0.001 80
SV tundra 0.002 0.006 0.003 0.669 100
AB moraine 0.003 0.006 0.001 0.019 0.031 25
VB moraine 0.002 0.002 0.001 0.016 0.018 0.075 40
ML moraine 0.001 0.001 0.001 0.033 0.04 0.712 0.241 60
aMidtre Lovénbreen
bVestre Brøggerbreen
cAustre Brøggerbreen
dSee Fig. 1 for location of the two tundra sites.

As summarized in the inset in Fig. 2, the overlap in the ranges of individual T-RFs between cryoconite and other habitat types was less than would be expected if T-RFs were randomly distributed, with 46 T-RFs unique to cryoconite. The greatest overlap in the ranges of individual T-RFs is found between cryoconite and moraine habitats, thus suggesting the range of some phylotypes may extend to both supraglacial and ice-marginal environments in some cases.

To assess whether the ranges of taxa detected by T-RFs extend across both cryoconite and periglacial habitats, the co-occurrence patterns of T-RFs were mapped. Networks of T-RFs exhibiting Bray-Curtis similarities ≥0.70 in their distribution were retained and displayed (Fig. 3). Such co-occurrence patterns have been used in terrestrial and aquatic microbial ecology to define niches for microbial taxa as represented by T-RFs, automated ribosomal intergenic spacer analysis fragments or operational taxonomic units (Fuhrman & Steele 2008; Steele et al. 2011; Barberan et al. 2012; Camarinha-Silva et al. 2012) but to our knowledge this is its first application in glacial environments. The co-occurrence networks generated are generally small, with only a few co-occurring nodes, typically linked minimally by only a few edges. Of the 17 co-occurrence networks resolved, 10 were dominated by cryoconite, moraine or soil-specific T-RFs. The two most popular networks consisted of taxa found in both cryoconite and moraine, indicating the ubiquity of these groups in both glacial environments; however, these accounted for only 19 of the 194 T-RFs represented in our data set.

Fig 3
Fig. 3  Co-occurrence pattern networks for bacterial 16S ribosomal RNA gene terminal-restriction fragments (T-RFs) resolved in this study; each node is labelled with the size of the 1-bp bin of the T-RFs (in bp) and a code letter designating the origin of the T-RF (C: cryoconite, M: moraine, T: tundra, G: moraine and cryoconite, S: moraine and tundra, CT: cryoconite and tundra). Only nodes linked by edges with a strength of association exceeding a Bray-Curtis similarity of ≥0.70 are shown.

Examination of these networks also suggests the presence of distinct co-occurrence patterns within habitat types. Coupled with the high ratio of total T-RFs to the median number of T-RFs per sample, this would suggest a degree of environmental heterogeneity even within the low-complexity landscape of a glacier surface. It has previously been shown that the community structure of cryoconite responds to glacier-specific factors (Mueller & Pollard 2004; Edwards et al. 2011). It is therefore possible that different cryoconite holes effectively “sample” distinct physico-chemical conditions across environmental gradients. Therefore, the potential for cryoconite ecosystems to act as sensitive indicators of spatio-temporal changes in supraglacial dynamics relating to environmental changes merits some consideration.

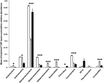
To help provide some insight into the phylogenetic affiliation of T-RFs resolved in this study, in silico predicted T-RFs for the same primer-enzyme combination applied to clone library sequences previously reported from cryoconite on the glaciers studied here (Edwards et al. 2011) and available on Genbank (accessions FN824532–FN824621) were compared to the T-RFs observed. Exact matches (±1 bp to allow for reasonable variation from size calling) were found for the predicted T-RFs of 51 clones from a total library of 94 clones to 71 of 204 actual T-RFs detected in this study. T-RFs with matches to predicted clone library T-RFs account for 74.3, 49.6 and 56.7% of the total relative abundance for cryoconite, moraine and tundra habitats, respectively, consistent with the contention that T-RFLP has provided effective resolution of phylotypes making significant contributions to the communities sampled. Although the putative nature of these matches must be emphasised, this lends support for the validity of T-RFLP as a tool for the comparison of bacterial communities in this study. The potential bias from only comparing to cryoconite libraries is recognized, and therefore the discrepancy between habitats in terms of T-RF-clone match representation is of the expected distribution considering the confirmation of hypotheses of differences between habitats. Yet further support is gained from the proportions of matches to different taxa observed which are comparable to other analyses of cryoconite bacterial diversity, for example the dominance of Alphaproteobacteria and relative abundance of Cyanobacteria broadly consistent with both clone libraries (Edwards et al. 2011), the clone library of Midtre Lovénbreen cryoconites recently reported (Cameron et al. 2012) and 454-pyrosequencing (Edwards et al. unpubl. ms.) of Arctic and alpine cryoconites. Statistically significant shifts between habitat types are apparent, both at the level of individual T-RFs (PERMANOVA pseudo-F=10.82; P[perm]=0.0001) and for the cumulative relative abundances of T-RFs aggregated by phylum or proteobacterial class, which are displayed in Fig. 4. Despite the support rendered by these several lines of evidence, further work is required to test the related, but distinct, hypothesis of differential representation of higher ranked bacterial taxa between cryoconite and ice-marginal habitats, since our understanding of the ecological coherence of higher ranked bacterial taxa is less than complete, even within intensively studied habitats such as soil (Fierer et al. 2007; Philippot et al. 2010; Prosser 2012).

Fig 4
Fig. 4  Phylum and proteobacterial class distribution of putative matches (exact or±1 bp) of terminal-restriction fragments (T-RFs) to 16S rRNA gene clone library sequences amplified from cryoconite on Austre and Vestre Brøggerbreen and Midtre Lovénbreen (Genbank FN824532–FN824621; published by Edwards et al. [2011]). Columns are mean values for cryoconite (white), moraine (grey) and tundra (black) habitats with error bars representing ±1 standard error of the mean. The values represent the proportion of total relative abundance accounted for by matches to each phylum or class. Significant (P<0.05) and highly significant differences (P<0.001) returned by Kruskal–Wallis tests comparing the total relative abundance of hits putatively affiliated with each taxon in each habitat type are indicated by one or three asterisks, respectively.

Finally, considering that (i) the presence of cosmopolitan taxa in cryoconite (Edwards et al. 2011); (ii) the strong dispersal vectors seen in polar environments (Alsos et al. 2007); (iii) the continual deposition and “archiving” of cells in glacial environments (Xiang et al. 2009); and (iv) the mass transfer of debris from adjacent habitats (Gerdel & Drouet 1960; Stibal et al. 2008), it is unlikely that Arctic glacier surfaces act to limit potential dispersal of taxa. Indeed, measurements of aeolian deposition on High-Arctic glaciers suggest significant cell fluxes on to the ice surface, with rates of deposition in the order of 107 cells m-2 h−1 to the bare ice of Midtre Lovénbreen apparent (Irvine-Fynn et al. 2012). Therefore, our analysis of T-RF profiles of bacterial community structure would be consistent with the occupation of distinct niches by bacterial phylotypes specific to either cryoconite or ice-marginal habitats, with the exception of a specific subset of phylotypes with a broadly defined niche spanning both habitat types. It is likely that dispersal of this minority of generalist phylotypes between these habitats will permit successful colonization of substrates, and the potential of ice-marginal habitats to inoculate cryoconite and vice versa cannot be excluded for some phylotypes. Nevertheless, in summary it appears clear that despite the substantial potential for transfer of cells from ice-marginal habitats, cryoconite holes are home to a distinctive yet functional bacterial community.

To explore the properties of the cryoconite bacterial community further, we conducted phylotype abundance distribution modelling of T-RF profiles in relation to null, pre-emption, log-normal, Zipf, Zipf-Mandelbrot and Zero-Sum models (see the Supplementary File). Zipf and Zipf-Mandelbrot distributions fit the T-RF profiles of cryoconite best in all cases according to Akaike Information Criterion scores, fitting 46 of the 48 samples profiled in this study; log-normal distributions were marginally the best-fit for two soil samples (Supplementary Table S1). These distributions are consistent with the predominance of deterministic (niche-based) processes over neutral processes in structuring a community. However, the coarser phylogenetic resolution of T-RFLP may reduce its sensitivity to neutral processes impacting at fine scales. Nevertheless, T-RFLP profiles have supported a role for neutral processes in other microbial communities (Dumbrell et al. 2009; Ofiteru et al. 2010; Caruso et al. 2011), indicating that further study into the relative roles of deterministic and neutral processes in structuring cryoconite communities is merited. Zipf and Zipf-Mandelbrot distributions, which differ only slightly in relation to the predicted length of the tail in the species abundance distribution (Wilson 1991), relate that as phylotype rank increases, phylotype abundance decreases exponentially. These distributions have been associated with communities in later stages of ecological succession (Wilson 1991; Aoki, 1995). Although the paradigm of primary succession in glacier forefields and hence subsequent to deglaciation is well documented, even for bacteria (Schutte et al. 2009), the fit of Zipf and Zipf-Mandelbrot distributions to cryoconite bacterial communities (i.e., habitats formed prior to deglaciation) is especially intriguing. On these grounds, it is tempting to hypothesize that primary succession may be initiated prior to deglaciation. Since cryoconite influences the mass balance of glaciers (Takeuchi, Kohshima & Seko 2001; Takeuchi 2002; Fountain et al. 2004), a supraglacial succession could result in a significant microbial influence on the fate of glaciers responding to a warming climate.

In summary, our data suggest that the cryoconite microbiome is essentially distinct from neighbouring habitats, with most, but not all, phylotypes occupying distinct niches in ice-surface and ice-marginal environments. Future work should concentrate on (i) defining the cryoconite microbiome at high resolution, perhaps by deep pyrosequencing; (ii) relating the dynamics of the microbiome to its functionality and the supraglacial habitat to resolve the niches of cryoconite taxa in detail; and (iii) evaluation of the role of neutral and non-neutral processes in governing cryoconite bacterial community assembly. Such efforts could prove useful in understanding the interactions between glacier wastage and glacial ecosystems.

Acknowledgements

We are most grateful to the Ny-Ålesund research community and in particular for the sterling efforts of Nick Cox and Rick Atkinson at the Natural Environment Research Council Arctic Research Station in supporting fieldwork. We thank the Governor of Svalbard for granting permission for the collection of soil samples. We also acknowledge the support of the Natural Environment Research Council (NERC; NE/D007321/1 to AMA) for fieldwork and Aberystwyth University Research Fund to AE permitting laboratory analyses and NERC (NE/K000942/1) to AE to support completion of the paper. AE further thanks Dr Karen Cameron, Washington University, for constructive discussion. Finally, we are grateful for the helpful comments of anonymous reviewers.

References

Alsos I.G., Eidesen P.B., Ehrich D., Skrede I., Westergaard K., Jacobsen G.H., Landvik J.Y., Taberlet P. & Brochman C. 2007. Frequent long-distance plant colonization in the changing Arctic. Science 316, 1606–1609. Publisher Full Text

Anderson M.J. 2001. A new method for non-parametric multivariate analysis of variance. Austral Ecology 26, 32–46.

Anderson M.J. & Willis T.J. 2003. Canonical analysis of principal coordinates: a useful method of constrained ordination for ecology. Ecology 84, 511–525.

Aoki I. 1995. Diversity and rank-abundance relationship concerning biotic compartments. Ecological Modelling 82, 21–26. Publisher Full Text

Barberan A., Bates S.T., Casamayor E.O. & Fierer N. 2012. Using network analysis to explore co-occurrence patterns in soil microbial communities. ISME Journal 6, 343–351. Publisher Full Text

Bayley W.S. 1891. Mineralogy and petrography. The American Naturalist 25, 138–146. Publisher Full Text

Bent S.J. & Forney L.J. 2008. The tragedy of the uncommon: understanding limitations in the analysis of microbial diversity. ISME Journal 2, 689–695. Publisher Full Text

Blackwood C.B., Hudleston D., Zak D.R. & Buyer J.S. 2007. Interpreting ecological diversity indices applied to terminal restriction fragment length polymorphism data: insights from simulated microbial communities. Applied and Environmental Microbiology 73, 5276–5283. Publisher Full Text

Borgatti S.P. 2002. NetDraw software for network visualization. Lexington, KY: Analytic Technologies.

Borgatti S.P., Everett M.G. & Freeman L.C. 2002. UCINET for Windows: software for social network analysis. Harvard, MA: Analytic Technologies.

Camarinha-Silva A., Wos-Oxley M.L., Jáuregui R., Becker K. & Pieper D.H. 2012. Validating T-RFLP as a sensitive and high-throughput approach to assess bacterial diversity patterns in human anterior nares. FEMS Microbiology Ecology 79, 98–108. Publisher Full Text

Cameron K.A., Hodson A.J. & Osborn A.M. 2012. Structure and diversity of bacterial, eukaryotic and archaeal communities in glacial cryoconite holes from the Arctic and the Antarctic. FEMS Microbiology Ecology 82, 254–267. Publisher Full Text

Caruso T., Chan Y., Lacap D.C., Lau M.C.Y., McKay C.P. & Pointing S.B. 2011. Stochastic and deterministic processes interact in the assembly of desert microbial communities on a global scale. ISME Journal 5, 1406–1413. Publisher Full Text

Cook J., Hodson A., Telling J., Anesio A., Irvine-Fynn T. & Bellas C. 2010. The mass-area relationship within cryoconite holes and its implications for primary production. Annals of Glaciology 51, 106–110. Publisher Full Text

Courtney K.C., Bainard L.D., Sikes B.A., Koch A.M., Maherali H., Klironomos J.N. & Hart M.M. 2012. Determining a minimum detection threshold in terminal restriction fragment length polymorphism analysis. Journal of Microbiological Methods 88, 14–18. Publisher Full Text

Dumbrell A.J., Nelson M., Helgason T., Dytham C. & Fitter A.H. 2009. Relative roles of niche and neutral processes in structuring a soil microbial community. ISME Journal 4, 337–345. Publisher Full Text

Dunbar J., Ticknor L.O. & Kuske C.R. 2000. Assessment of microbial diversity in four southwestern United States soils by 16S rRNA gene terminal restriction fragment analysis. Applied and Environmental Microbiology 66, 2943–2950. Publisher Full Text

Edwards A., Anesio A.M., Rassner S.M., Sattler B., Hubbard B.P., Perkins W.T., Young M. & Griffith G.W. 2011. Possible interactions between bacterial diversity, microbial activity and supraglacial hydrology of cryoconite holes in Svalbard. ISME Journal 5, 150–160. Publisher Full Text

Fierer N. 2007. Tilting at windmills: a response to a recent critique of terminal restriction fragment length polymorphism data. Applied and Environmental Microbiology 73, 8041–8042. Publisher Full Text

Fierer N., Bradford M.A. & Jackson R.B. 2007. Toward an ecological classification of soil bacteria. Ecology 88, 1354–1364. Publisher Full Text

Fountain A.G., Tranter M., Nylen T.H., Lewis K.J. & Mueller D.R. 2004. Evolution of cryoconite holes and their contribution to meltwater runoff from glaciers in the McMurdo Dry Valleys, Antarctica. Journal of Glaciology 50, 35–45. Publisher Full Text

Fuhrman J. & Steele J. 2008. Community structure of marine bacterioplankton: patterns, networks, and relationships to function. Aquatic Microbial Ecology 53, 69–81. Publisher Full Text

Gajda R.T. 1958. Cryoconite phenomena on the Greenland Ice Cap in the Thule area. Canadian Geographer 3, 35–44. Publisher Full Text

Gerdel R.W. & Drouet F. 1960. The Cryoconite of the Thule area, Greenland. Transactions of the American Microscopical Society 79, 256–272. Publisher Full Text

Glasser N.F. & Hambrey M.J. 2001. Styles of sedimentation beneath Svalbard valley glaciers under changing dynamic and thermal regimes. Journal of the Geological Society 158, 697–707. Publisher Full Text

Gribbon P.W.F. 1979. Cryoconite holes on Sermikavask, West Greenland. Journal of Glaciology 22, 177–181.

Hodkinson I.D., Coulson S.J. & Webb N.R. 2003. Community assembly along proglacial chronosequences in the High Arctic: vegetation and soil development in north-west Svalbard. Journal of Ecology 91, 651–663. Publisher Full Text

Hodson A., Anesio A.M., Ng F., Watson R., Quirk J., Irvine-Fynn T., Dye A., Clark C., McCloy P., Kohler J. & Sattler B. 2007. A glacier respires: quantifying the distribution and respiration CO2 flux of cryoconite across an entire Arctic supraglacial ecosystem, Journal of Geophysical Research—Biogeosciences 112, G04S36, doi: 10.1029/2007JG000452. Publisher Full Text

Hodson A., Anesio A.M., Tranter M., Fountain A., Osborn M., Priscu J., Laybourn-Parry J. & Sattler B. 2008. Glacial ecosystems. Ecological Monographs 78, 41–67. Publisher Full Text

Irvine-Fynn T.D.L., Bridge J.W. & Hodson A.J. 2011. In situ quantification of supraglacial cryoconite morpho-dynamics using time-lapse imaging: an example from Svalbard. Journal of Glaciology 57, 651–657. Publisher Full Text

Irvine-Fynn T.D.L., Edwards A., Newton S., Langford H., Rassner S.M., Telling J., Anesio A.M. & Hodson A.J. 2012. Microbial cell budgets of an Arctic glacier surface quantified using flow cytometry. Environmental Microbiology 14, 2998–3012. Publisher Full Text

Kastovska K., Stibal M., Sabacka M., Cerna B., Santruckova H. & Elster J. 2007. Microbial community structure and ecology of subglacial sediments in two polythermal Svalbard glaciers characterized by epifluorescence microscopy and PLFA. Polar Biology 30, 277–287. Publisher Full Text

Langford H., Hodson A., Banwart S. & Bøggild C. 2010. The microstructure and biogeochemistry of Arctic cryoconite granules. Annals of Glaciology 51, 87–94. Publisher Full Text

Marzorati M., Wittebolle L., Boon N., Daffonchio D. & Verstraete W. 2008. How to get more out of molecular fingerprints: practical tools for microbial ecology. Environmental Microbiology 10, 1571–1581. Publisher Full Text

Mindl B., Anesio A.M., Meirer K., Hodson A.J., Laybourn-Parry J., Sommaruga R. & Sattler B. 2007. Factors influencing bacterial dynamics along a transect from supraglacial runoff to proglacial lakes of a High Arctic glacier. FEMS Microbial Ecology 59, 307–317. Publisher Full Text

Moreau M., Mercier D., Laffly D. & Roussel E. 2008. Impacts of recent paraglacial dynamics on plant colonization: a case study on Midtre Lovénbreen foreland, Spitsbergen (79°N). Geomorphology 95, 48–60. Publisher Full Text

Mueller D.R. & Pollard W.H. 2004. Gradient analysis of cryoconite ecosystems from two polar glaciers. Polar Biology 27, 66–74. Publisher Full Text

Ofiteru I.D., Lunn M., Curtis T.P., Wells G.F., Criddle C.S., Francis C.A. & Sloan W.T. 2010. Combined niche and neutral effects in a microbial wastewater treatment community. Proceedings of the National Academy of Sciences 107, 15345–15350. Publisher Full Text

Osborn A.M., Moore E.R.B. & Timmis K.N. 2000. An evaluation of terminal-restriction fragment length polymorphism (T-RFLP) analysis for the study of microbial community structure and dynamics. Environmental Microbiology 2, 39–50. Publisher Full Text

Philippot L., Andersson S.G.E., Battin T.J., Prosser J.I., Schimel J.P., Whitman W.B. & Hallin S. 2010. The ecological coherence of high bacterial taxonomic ranks. Nature Reviews Microbiology 8, 523–529. Publisher Full Text

Prosser J.I. 2012. Ecosystem processes and interactions in a morass of diversity. FEMS Microbiology Ecology 81, 507–519. Publisher Full Text

Schutte U.M.E., Abdo Z., Bent S.J., Williams C.J., Schneider G.M., Solheim B. & Forney L.J. 2009. Bacterial succession in a glacier foreland of the High Arctic. ISME Journal 3, 1258–1268. Publisher Full Text

Smalla K., Oros-Sichler M., Milling A., Heuer H., Baumgarte S., Becker R., Neuber G., Kropf S., Ulrich A. & Tebbe C.C. 2007. Bacterial diversity of soils assessed by DGGE, T-RFLP and SSCP fingerprints of PCR-amplified 16S rRNA gene fragments: do the different methods provide similar results? Journal of Microbiological Methods 69, 470–479. Publisher Full Text

Smoot M.E., Ono K., Ruscheinski J., Wang P.-L. & Ideker T. 2011. Cytoscape 2.8: new features for data integration and network visualization. Bioinformatics 27, 431–432. Publisher Full Text

Steele J.A., Countway P.D., Xia L., Vigil P.D., Beman J.M., Kim D.Y., Chow C.E.T., Sachdeva R., Jones A.C., Schwalbach M.S., Rose J.M., Hewson I., Patel A., Sun F., Caron D.A. & Fuhrman J.A. 2011. Marine bacterial, archaeal and protistan association networks reveal ecological linkages. ISME Journal 5, 1414–1425. Publisher Full Text

Stibal M., Tranter M., Benning L.G. & Řehák J. 2008. Microbial primary production on an Arctic glacier is insignificant in comparison with allochthonous organic carbon input. Environmental Microbiology 10, 2172–2178. Publisher Full Text

Takeuchi N. 2002. Optical characteristics of cryoconite (surface dust) on glaciers: the relationship between light absorbency and the property of organic matter contained in the cryoconite. Annals of Glaciology 34, 409–414. Publisher Full Text

Takeuchi N., Kohshima S., Goto-Azuma K. & Koerner R. 2001. Biological characteristics of dark colored material (cryoconite) on Canadian Arctic glaciers (Devon and Penny ice caps). Memoirs of the National Institute of Polar Research 54, 495–505.

Takeuchi N., Kohshima S. & Seko K. 2001. Structure, formation, and darkening process of albedo-reducing material (cryoconite) on a Himalayan glacier: a granular algal mat growing on the glacier. Arctic Antarctic and Alpine Research 33, 115–122. Publisher Full Text

Takeuchi N., Nishiyama H. & Li Z. 2010. Structure and formation process of cryoconite granules on Ürümqi glacier No. 1, Tien Shan, China. Annals of Glaciology 51, 9–14. Publisher Full Text

Telling J., Anesio A.M., Tranter M., Irvine-Fynn T., Hodson A., Butler C. & Wadham J. 2011. Nitrogen fixation on Arctic glaciers, Svalbard. Journal of Geophysical Research—Biogeosciences 116, G03039, doi: 10.1029/2010JG001632. Publisher Full Text

Telling J., Anesio A.M., Tranter M., Stibal M., Hawkings J.R., Irvine-Fynn T.D.L., Hodson A., Butler C., Yallop M. & Wadham J. 2012. Controls on the autochthonous production and respiration of organic matter in cryoconite holes on High Arctic glaciers. Journal of Geophysical Research—Biogeosciences 117, G01017, doi: 10.1029/2011JG001828. Publisher Full Text

Tieber A., Lettner H., Bossew P., Hubmer A., Sattler B. & Hofmann W. 2009. Accumulation of anthropogenic radionuclides in cryoconites on alpine glaciers. Journal of Environmental Radioactivity 100, 590–598. Publisher Full Text

Wharton R.A., McKay C.P., Simmons G.M. & Parker B.C. 1985. Cryoconite holes on glaciers. Bioscience 35, 499–503. Publisher Full Text

Wilson J.B. 1991. Methods for fitting dominance/diversity curves. Journal of Vegetation Science 2, 35–46. Publisher Full Text

Xiang S.-R., Shang T.-C., Chen Y. & Yao T.-D. 2009. Deposition and postdeposition mechanisms as possible drivers of microbial population variability in glacier ice. FEMS Microbiology Ecology 70, 165–176. Publisher Full Text